Гибридные реставрации во фронтальном участке: замещение дефектов зубного ряда
Замещение эстетических дефектов зубов во фронтальных участках представляет собой одну из наиболее сложных клинических задач, которая может быть почти неподъемной, учитывая личные пожелания пациента относительно конечного результата лечения. Одним из вариантов реабилитации в подобных случаях является протетическое лечение гибридными реставрациями с опорой на дентальных имплантатах.
Исправление положения центральных резцов с помощью керамических виниров
Современная эстетическая стоматология должна основываться на минимально-инвазивном подходе при создании любой реставрации. Делая выбор в пользу непрямой реставрации, стоматологу необходимо выбрать такой материал и методику восстановления, которая будет способствовать сохранению максимального количества здоровых тканей зуба, при одновременном удовлетворении всех эстетических и функциональных требований пациента.
Исправление положения зуба в зубной дуге и восстановление межзубного контакта с использованием керамической вкладки
В настоящее время керамические вкладки возможно с успехом применять не только в случаях замещения дефектов твердых тканей зубов, но и для исправления положение зуба в зубной дуге.
Одномоментная имплантация 11 зуба и эстетическое протезирование центральных зубов верхней челюсти
Пациент была направлена терапевтом для удаления, вследствие некурабельного воспалительного процесса в зубе 11.
Протезирование зубов с применением комбинации традиционного бюгельного протеза и дентальных имплантатов
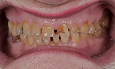
Пациент, 68 лет. Обратился с жалобами на эстетическую несостоятельность зубов и затрудненное пережевывание пищи.
Комплексная реабилитация с помощью цельнокерамических адгезивных реставраций
Исходная ситуация.
Функциональная и эстетическая реабилитация
Пациентка обратилась с жалобами на затрудненное пережевывание пищи и «неудовлетворительную» эстетику улыбки.
Адгезивные керамические реставрации 4-х резцов верхней челюсти
Молодая девушка была направлена ко мне терапевтом из другой клиники на ортопедическое лечение. Зубы 1.1 и 2.2 депульпированы, 1.2 и 2.1 витальные с пломбами на апроксимальных поверхностях. Зуб 1.1 имеет небный наклон.
Восстановление нижнего зубного ряда с опорой на 5 имплантатах
Исходная ситуация. Пациентка обратилась с жалобами на расцементировку мостовидного протеза на нижней челюсти слева и невозможность использования старого чсп.

Статьи от брендов